TEACHERS
GALLERY
PRICING
SIGN IN
TRY ZURU
GET STARTED
Loop
Audio
Interval:
5s
10s
15s
20s
60s
Play
1 of 12
Slide Notes
Download
Go Live
New! Free Haiku Deck for PowerPoint Add-In
Sports Injury
Share
Copy
Download
0
172
Published on Nov 19, 2015
No Description
View Outline
MORE DECKS TO EXPLORE
PRESENTATION OUTLINE
1.
SPORTS INJURY
Photo by
Joe Y Jiang
2.
WHAT HAPPENED
During a baseball game, a pitcher performs a brush-back pitch
The batter got frustrated with the pitcher and rushed the mound
Rushing the mound the pitcher and batter get in a fight
The batter punches the pitcher in the face
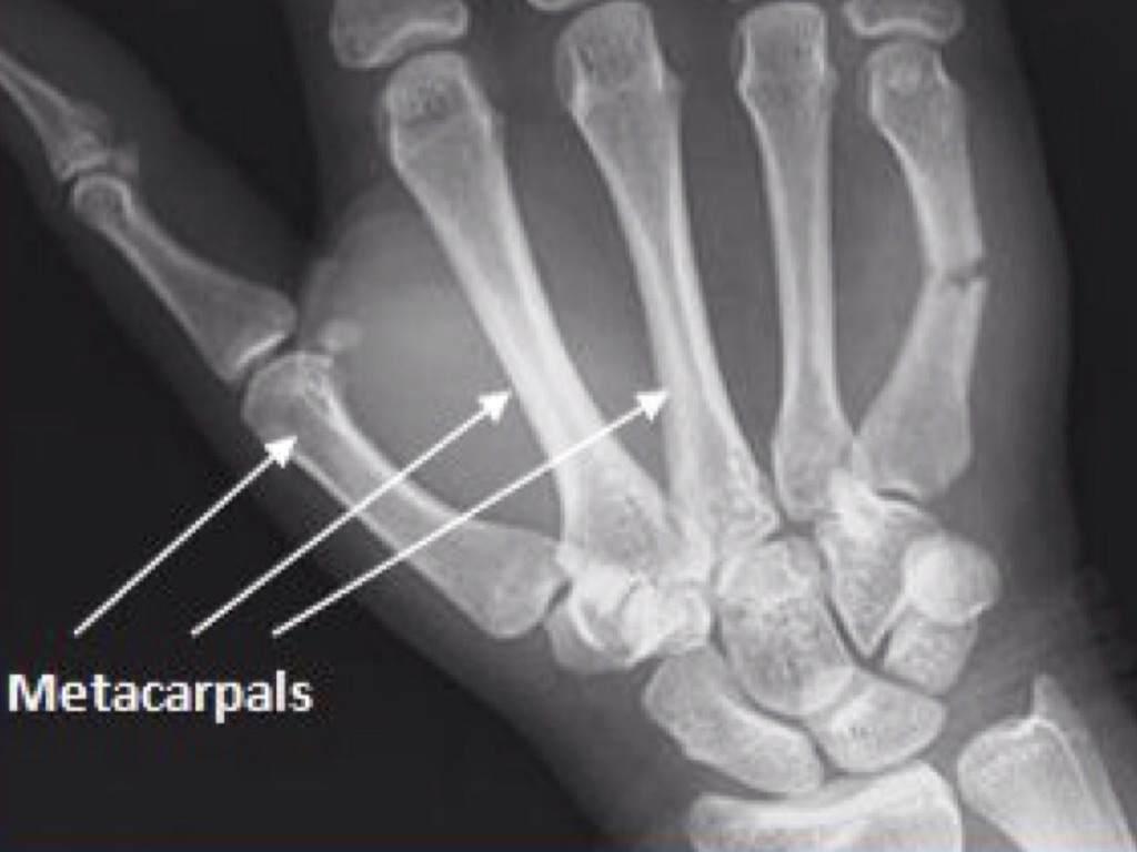
The batter suffers a boxers fracture of the fifth metatarsal
Photo by
texas_mustang
3.
VIDEO
FEATURING: ALEC, WESTON, & HANNAH
Photo by
Carbon Arc
4.
Untitled Slide
5.
IMPRESS
Photo by
sky#walker
6.
INfLAMMATION
Inflammatory Response Phase
Gate Control Theory
Cryotherapy
Reduce: Pain, Edema,Temp.
RICE, NSAIDs, E-stim
Photo by
aperture_lag
7.
Mobility
Fibroblatic Repair Phase
Gate Control & Central Biasing
Thermotherapy
Increase: blood flow, ROM
Decrease: joint stiffness
Photo by
tribbles1971
8.
Proprioception
Fibroblastic Repair Phase
B-Endorphin Theory
Therapeutic exercises
Increase: strength, load, power
collagen tensile strength begins
Photo by
rishibando
9.
Resistance
Maturation & Remodeling Phase
Central Biasing & B-Endorphin
Therapeutic Exercises:
stress ball, foam block, and hand grip
Increases strength and ROM by AROM
Photo by
skittledog
10.
Resistance
Realignment of collagen
Allows increase of flexibility
Starts returning back to normal
Photo by
skittledog
11.
Endurance
Maturation & Remodeling Phase
B-Endorphin Theory
Exercises include:
jogging, running, biking, elliptical work
These will help increase cardio.
Photo by
prettytypewriters
12.
Sports Specific
Maturation & Remodeling Phase
B-Endorphin Theory
Exercises will include:
catching, throwing, batting, and fielding practice
Ability to function in your sport activities.
Photo by
jcwpdx
Weston Paulson
×
Error!