1 of 22

Slide Notes

DownloadGo Live

Patología

No Description

PRESENTATION OUTLINE

ENCEFALITIS CAPRINA

ETIOLOGIA

  • Leucoencefalomielitis-artritis.
  • Retroviridae, Lentivirinae.

Produce lesiones en el pulmón, glándulas mamarias, timo, ganglios linfáticos, riñones, SNC y articulaciones.

Forma Nerviosa

  • Ataxia
  • Opistotonos
  • Laminitis
  • Ataxia
  • Animal está en alerta

CARPO MOSTRANDO ENGROSAMIENTO PRONUNCIADO DE LA CAPSULA SINOVIAL

Forma Artritica

  • Perdida de peso
  • Pobre condición de pelo y cuero
  • Mastitis

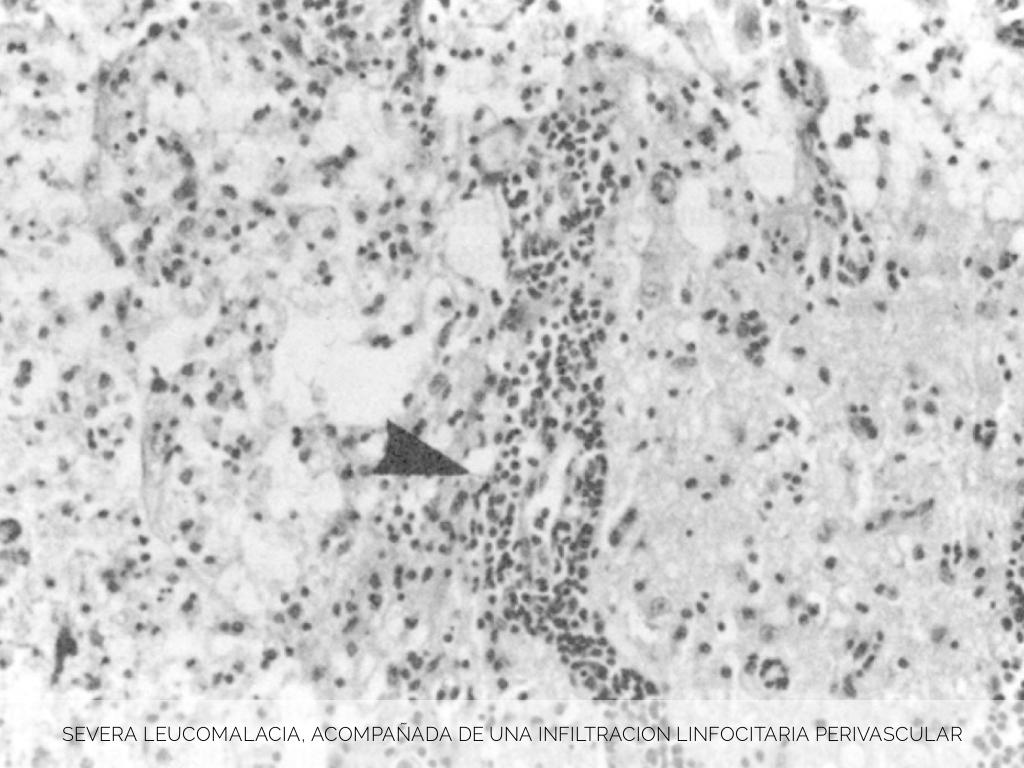
SEVERA LEUCOMALACIA, ACOMPAÑADA DE UNA INFILTRACION LINFOCITARIA PERIVASCULAR

Patogenia

La infección por AEC produce una diseminación viral sistémica en el organismo animal infectado.

Untitled Slide

  • Articulaciones
  • Sistema nervioso
  • Glándula mamaria
  • Pulmón

TRANSMISION

  • Ingerir el calostro
  • Contacto directo FOMITES
  • Secreciones
  • Placentas

LESIONES

Untitled Slide

SNC

  • Ataxia
  • Parálisis ascendente
  • Convulsiones
  • Disfagia
  • Torticolis

ARTICULACIONES

  • Poliartritis
  • Sinovitis
  • Bursitis

Untitled Slide

GLANDULA MAMARIA

  • Mastitis indura
  • No es posible ordeñar

Untitled Slide

DX CLINICO

  • Poliartritis y/o mastitis
  • Paresia progresiva

DX DIFERENCIAL

  • Artritis traumática
  • Ataxia enzootica
  • Nematodiasis cerebroespinal
  • Listeriosis

TRATAMIENTO

  • No existe un tratamiento.
  • Corte de pezuña
  • Suministro de material adicional para camas
  • Eutanasia a animales infectados

BIBLIOGRAFIAS

  • Hinchcliff, O.M (2002), Tratado de las enfermedades del ganado.
  • Maghire, P.Q (2002) Microbiología y enfermedades infecciosas veterinarias.