TEACHERS
GALLERY
PRICING
SIGN IN
TRY ZURU
GET STARTED
Loop
Audio
Interval:
5s
10s
15s
20s
60s
Play
1 of 31
Slide Notes
Download
Go Live
New! Free Haiku Deck for PowerPoint Add-In
Niños De 3 A 6 Años
Share
Copy
Download
0
2022
Published on Nov 19, 2015
No Description
View Outline
MORE DECKS TO EXPLORE
PRESENTATION OUTLINE
1.
NIÑOS 3 A 6 AÑOS
SERVICIOS
Photo by
horizontal.integration
2.
INTERDENTALGROUP
Photo by
SanforaQ8
3.
PRIMER CITA
Realizamos adaptación del niño a la consulta odontológica
Photo by
muscolinos
4.
Untitled Slide
Valoración de cada caso
Photo by
Prefectura de la Provincia del Guayas
5.
Untitled Slide
Determinamos estudios o radiografías requeridas para cada caso.
Photo by
[xinita]
6.
Untitled Slide
Explicamos a los padres las características del caso
Las causas y consecuencias de la alteracion de cada caso
De tipo restaurativo y preventivo
Photo by
muscolinos
7.
Untitled Slide
Se explica a los padres la metodología de tratamiento
Programacion de citas segun cada caso y edad del niño
Photo by
talcahuanofotos
8.
OBJETIVOS DE LA CONSULTA DENTAL
Establecer una mayor relación de confianza con el niño
Photo by
flequi
9.
Ampliamos información sobre erupción dental.
Photo by
Luringa
10.
Identificamos hábitos inadecuados como succión digital, del chupón
Photo by
eperales
11.
Se refuerzan medidas de prevención como sellantes, flúor.
Photo by
ManuEnero
12.
Orientamos sobre desarrollo de lenguaje, importancia de la adecuada masticación y desarrollo de maxilares.
Photo by
RVillar
13.
SELLADORES
Photo by
Cristiano de Jesus
14.
Compuestos de resinas que sirven para rellenar los defectos de los dientes
15.
APLICACIONES DE FLUOR
Photo by
rdes
16.
Uso en el consultorio de manera preventiva dependiendo de la edad
Photo by
RVillar
17.
ERUPCIÓN DENTAL
Photo by
Hamner_Fotos
18.
Untitled Slide
19.
Untitled Slide
20.
CARIES
Photo by
srgpicker
21.
Untitled Slide
22.
RESINAS
Photo by
francescopratese
23.
PULPOTOMÍA
Photo by
teobonjour - www.matteomignani.it
24.
Untitled Slide
25.
PULPECTOMÍA
Photo by
Sebazac
26.
Untitled Slide
27.
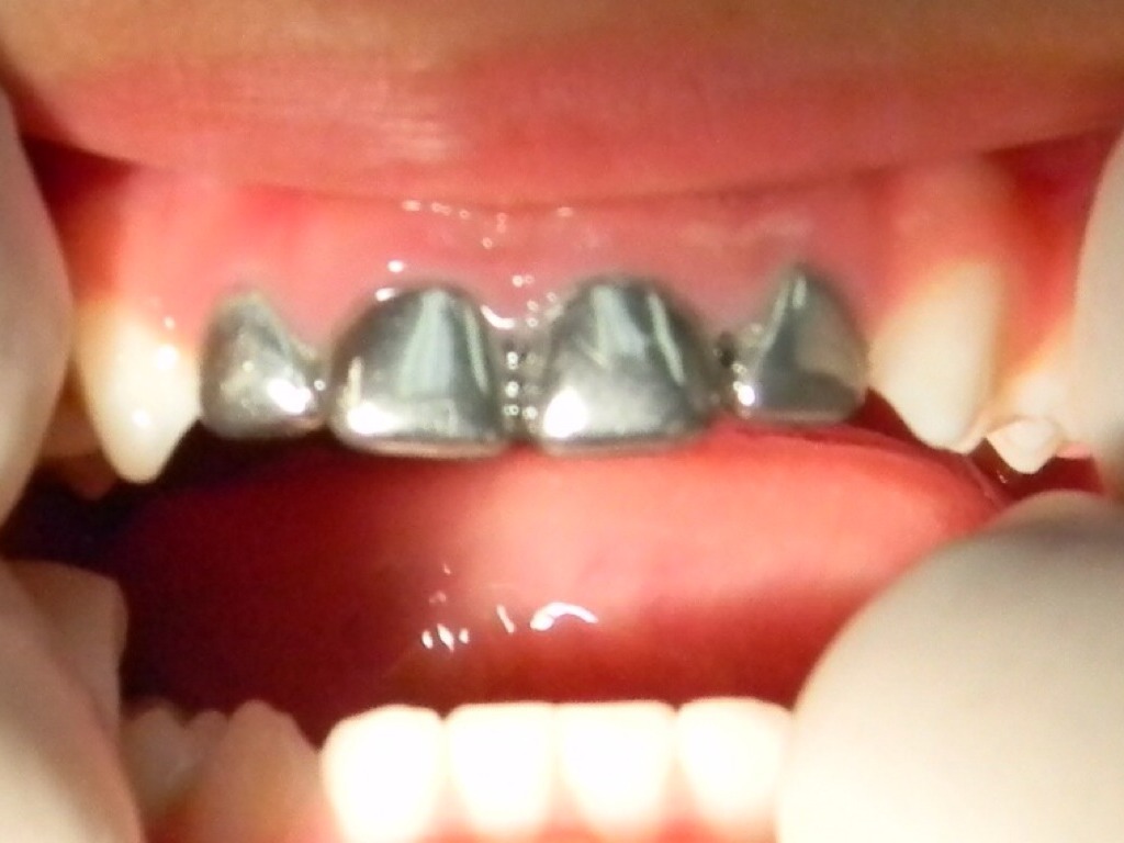
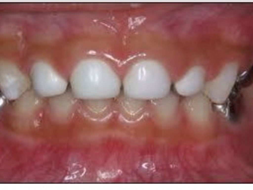
CORONAS
Photo by
Libertinus
28.
Untitled Slide
29.
Untitled Slide
30.
Untitled Slide
31.
GRACIAS
Photo by
RVillar
Friend of Haiku Deck
×
Error!