TEACHERS
GALLERY
PRICING
SIGN IN
TRY ZURU
GET STARTED
Loop
Audio
Interval:
5s
10s
15s
20s
60s
Play
1 of 25
Slide Notes
Download
Go Live
New! Free Haiku Deck for PowerPoint Add-In
Maia
Share
Copy
Download
0
8
No Description
View Outline
MORE DECKS TO EXPLORE
PRESENTATION OUTLINE
1.
DIAGNOSTICO
ORTOPÉDICO DENTAL
Photo by
Vicko Mozara
2.
Untitled Slide
3.
PANORAMICA
Dentición permanente completa
Guías de erupción adecuadas
Falta de espacio para lateral inferior
Photo by
Austin Chan
4.
Untitled Slide
5.
LATERAL
Perfil recto
Rotación mandibular anterior
Mordida cerrada
Photo by
eberhard grossgasteiger
6.
Untitled Slide
7.
Untitled Slide
8.
DENTAL
Paladar profundo
Forma de “V”
Distancia reducida en molares temporales
Photo by
Sharon McCutcheon
9.
Untitled Slide
10.
Untitled Slide
11.
Untitled Slide
12.
Untitled Slide
13.
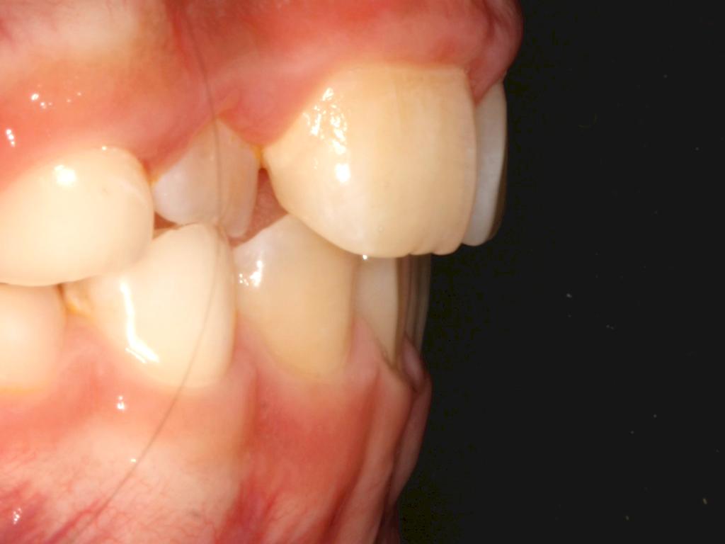
DENTAL
Falta de espacio para lateral inferior
Posición de molares permanentes adecuada
Desgaste en dentición temporal
Photo by
Amy Tran
14.
Untitled Slide
15.
Untitled Slide
16.
FACIAL
Perfil recto
Posición lingual entre los dientes
Photo by
Paweł Czerwiński
17.
PLAN DE TRATAMIENTO
Photo by
Krystal Ng
18.
Untitled Slide
19.
HYRAX
Aparato fijo
Apertura rapida
Activaciones 2 veces al día
Duración 4 meses
Photo by
Amy Shamblen
20.
Untitled Slide
21.
TORNILLO FIJO INFERIOR
Activaciones 2 veces a la semana
Duración de aparato en boca 6 meses
Photo by
FeeBeeDee
22.
SEGUNDA ETAPA
Photo by
Nanagyei
23.
Untitled Slide
24.
Untitled Slide
25.
Untitled Slide
Jennifer Martínez
https://www.facebook.com/app_scoped_user_id/1440668402908775/
×
Error!