TEACHERS
GALLERY
PRICING
SIGN IN
TRY ZURU
GET STARTED
Loop
Audio
Interval:
5s
10s
15s
20s
60s
Play
1 of 13
Slide Notes
Download
Go Live
New! Free Haiku Deck for PowerPoint Add-In
Lucia
Share
Copy
Download
0
9
No Description
View Outline
MORE DECKS TO EXPLORE
PRESENTATION OUTLINE
1.
DIAGNOSTICO
DENTAL
Photo by
Jason Leung
2.
PANORAMICA
Dentición permanente completa
Guías de erupción adecuadas
Photo by
Sharon McCutcheon
3.
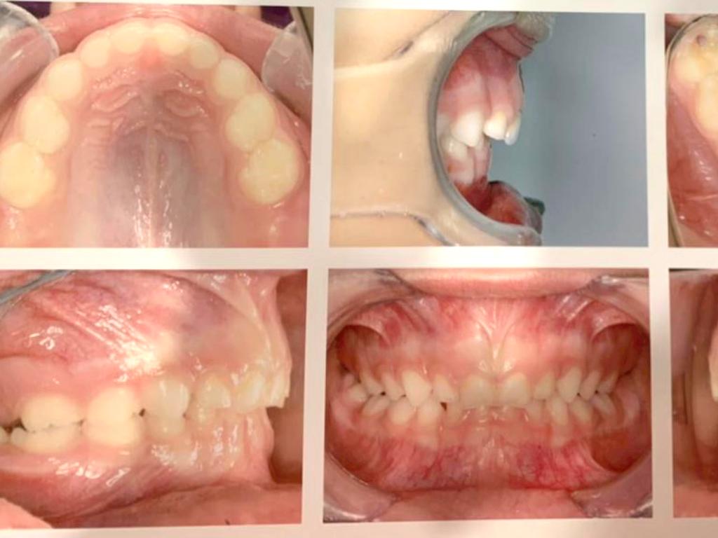
Untitled Slide
4.
LATERAL
Posición mandibular
Mordida profunda
Falta de desarrollo y crecimiento
Photo by
Sharon McCutcheon
5.
DENTAL
Photo by
Nanagyei
6.
Untitled Slide
7.
DENTAL
Mordida profunda
Falta de espacio para dientes permanentes
Photo by
eberhard 🖐 grossgasteiger
8.
OBJETIVOS
Aumentar distancia oclusal
Estimular espacio transversal
Photo by
Pawel Czerwinski
9.
APARATOS
REMOVIBLES
Photo by
Darwin Bell
10.
Untitled Slide
11.
Untitled Slide
12.
INDICACIONES
Uso continuo 12 horas diarias
No escuela
Activación 1vez a la semana y después aumentamos
Photo by
Pawel Czerwinski
13.
DURACION
6 - 8 meses aproximadamente
Dependiendo del uso
Photo by
Keila Hötzel
Jennifer Martínez
https://www.facebook.com/app_scoped_user_id/1440668402908775/
×
Error!