1 of 32

Slide Notes

DownloadGo Live

Linfoma De Hodgkin

Published on Nov 18, 2015

No Description

PRESENTATION OUTLINE

LINFOMA DE HODGKIN

JASIEL ESTEBAN ALANIS RIVADENEYRA

Es una neoplásia en el tejido linfoide y afecta el sistema inmunológico.

ORIGEN¿?

CELULAS B DE EXPRESION FRUSTRADA

  • Cd15
  • Cd30
  • Cd79a
  • Cd45

EPSTEIN BARR

VEB

EPIDEMIOLOGIA

PRESENTACION

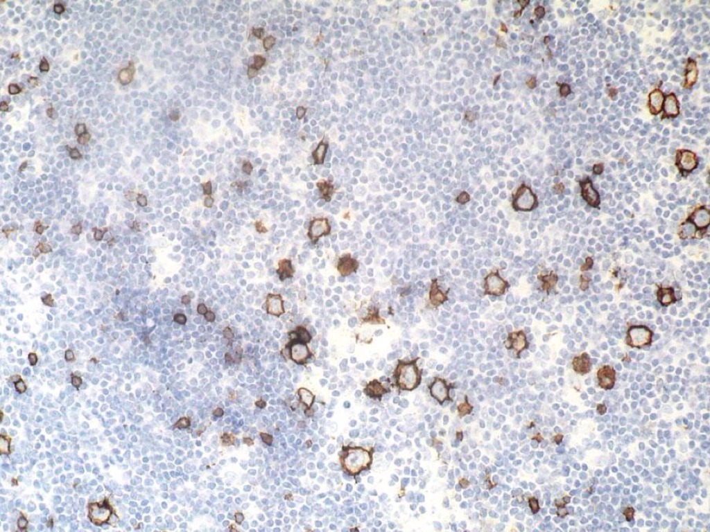
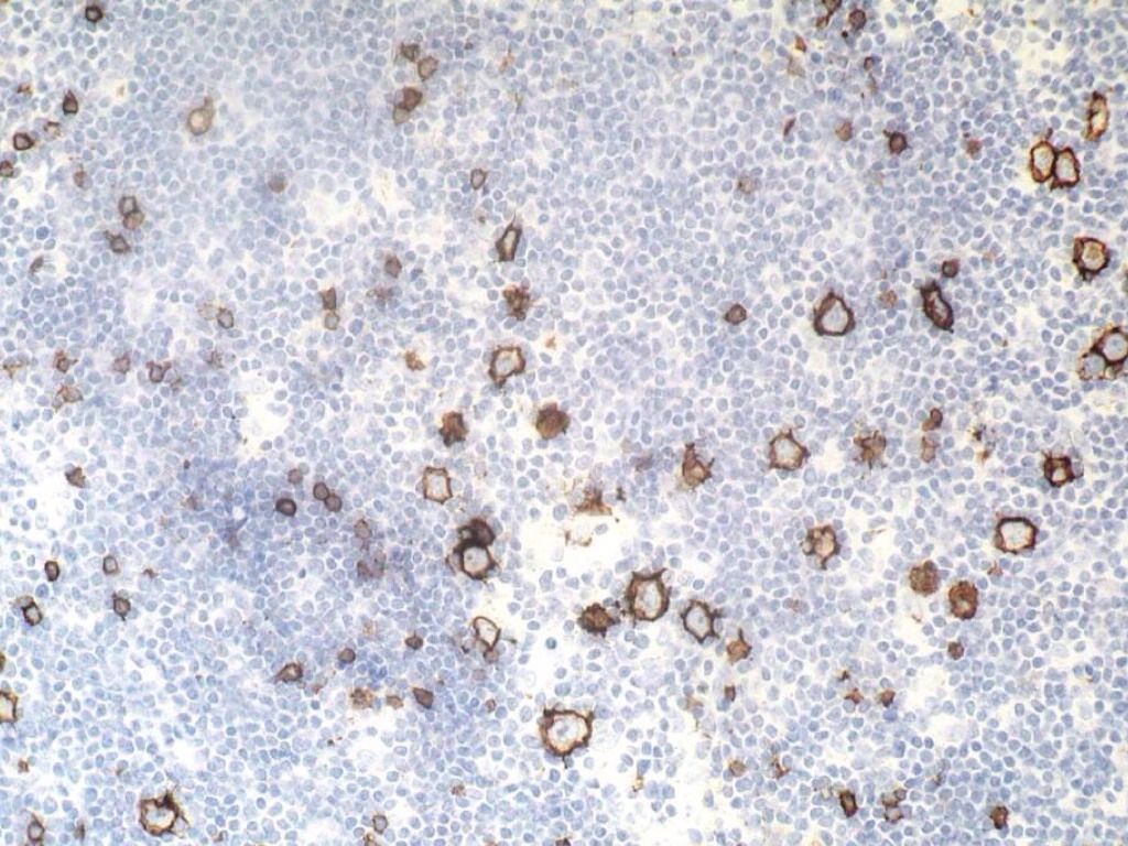
CLASIFICACION HISTOLOGICA

  • Predominio linfocitico (PL)
  • Esclerosis nodular (EN)
  • Celularidad mixta (CM)
  • Rico en linfocitos (RL)
  • Disminución linfocítica (DL)

PL

  • Incidencia 2-6%
  • Escasas células de Reed-Sternberg
  • Limfocitos maduros
  • Se conserva disposición nodular normal de los folículos linfoides

EXPRESAN

  • Cd20
  • Cd45

Untitled Slide

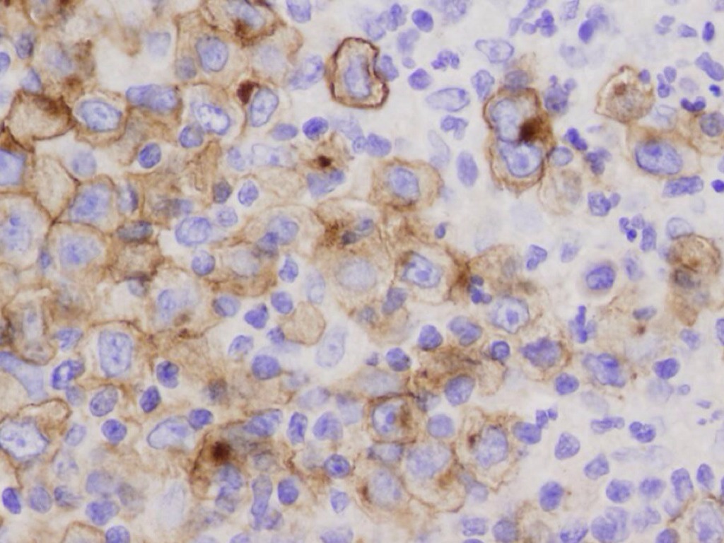
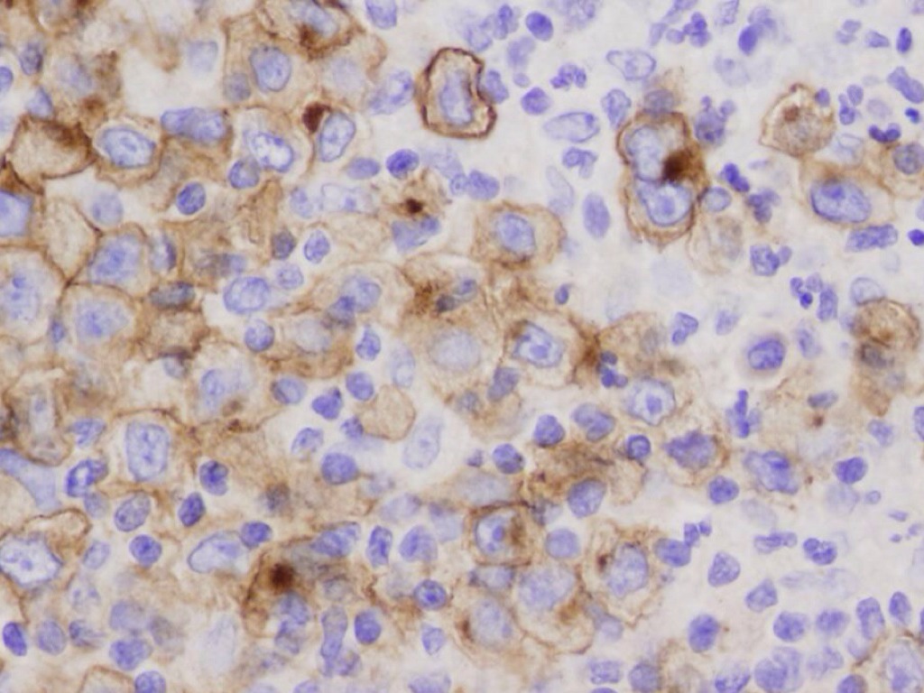
EN

  • Célula lacunar
  • Incidencia 40-80%
  • Frecuente en mujeres con masa mediastinal

EXPRESAN

  • EMA
  • Cd15
  • Cd30

Untitled Slide

Untitled Slide

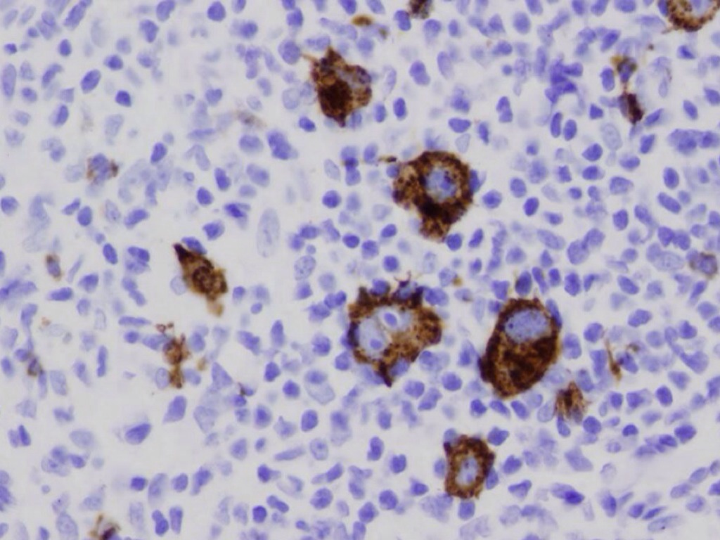
CM

  • Mezcla de células de Reed-Sternberg con células no neoplásicas
  • Neutrófilos
  • Histiocitos
  • Células plasmáticas
  • Eosinófilos y linfocitos

EXPRESAN

  • Cd20+\-
  • EMA (antígeno epitelial de membrana)
  • Cd15
  • Cd30
  • VEB 40-70%

Untitled Slide

Untitled Slide

RL

  • Celularidad mixta/predominio linfocitario
  • Células de Hodgking y Reed-Sternberg son escasas
  • Células plasmáticas, neutrófilos y eosinófilos son perivasculares
  • Linfocitos son del tipo "B"

Untitled Slide

EXPRESAN

  • Cd20
  • Cd45

Untitled Slide

DISMINUCION LINFOCÍTICA

  • Abundantes células de Reed-Sternberg
  • > frecuencia en pacientes adultos mayores
  • Región abdominal
  • Pequeña respuesta a quimioterapia

VARIANTES

  • Esclerosis difusa
  • Celular

CLASIFICACION ANN ARBOR

  • Estadio I
  • Estadio II: IIo, IIE, II3
  • Estadio III: 1y2
  • Estadio IV

ESTADIO i

  • Afección de una región ganglionar única
  • De un órgano
  • O de un sitio

ESTADIO II

  • >2,+ regiones ganglionares sobre el mismo lado del diafragma (IIo)
  • Afectación localizada de un órgano extralinfatico
  • O de un sitio Y de >1,+
  • regiones ganglionares sobre el mismo lado del diafragma (IIE)
  • Deberá señalarse en subíndice el número de regiones afectadas (II3)

ESTADIO iii

  • Afectación de los ganglios a ambos lados del diafragma(III)
  • Acompañada o no de alteración localizada de un órgano o sitio
  • Extralinfatico (IIIE)
  • Del bazo (IIIS)

Untitled Slide

  • III1 con o sin afectación esplénica, hiliar, mesentérica o portal
  • III2 con afección de ganglios paraórticos, iliacos y mesentéricos

ESTADIO Iv

  • Afección diseminada o difusa de uno o más órganos o tejidos extralinfáticos
  • (Pulmón, intestino, hueso, tejidos blandos, etc.)
  • Con o sin crecimiento ganglionar asociado.

Cada estadio se divide en "A" sí no hay síntomas generales o "B" sí existe pérdida ponderal mayor de 10% y/o fiebre inexplicable o sudores nocturnos.